Richard Harris

Richard Harris appears in the following:

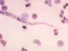
Smartphones Can Be Smart Enough To Find A Parasitic Worm

Wednesday, May 06, 2015

If someone is infected by the Loa loa worm, taking a drug to treat river blindness could be risky. Now there's a fast way to identify the worm — by turning a smartphone into a microscope.

Comment

Sepsis, A Wily Killer, Stymies Doctors' Efforts To Tame It

Monday, May 04, 2015

It's a deadly combination of infection and inflammation striking more than a million Americans every year. Doctors can treat the symptoms of sepsis, but they still can't treat the underlying problem.

Comment

Who Keeps Track If Your Surgery Goes Well Or Fails?

Sunday, May 03, 2015

In order to improve the quality of health care and reduce its costs, researchers need to know what works and what doesn't. One powerful way to do that is through a system of "registries," in which doctors and hospitals compile and share their results. But even in this era of ...

Comment

Small Plague Outbreak In People Tracked To Pit Bull

Thursday, April 30, 2015

A woman who caught pneumonic plague in Colorado last summer likely contracted it from her friend or his dog. Antibiotics limited the outbreak to four people and cured them.

Comment

Big Aftershocks In Nepal Could Persist For Years

Monday, April 27, 2015

Saturday's magnitude-7.8 quake released stress that was building for 150 years, scientists say, and it reshuffled tension to nearby faults.

Comment

Personalizing Cancer Treatment With Genetic Tests Can Be Tricky

Wednesday, April 15, 2015

Genetic profiling of cancer cells can help guide treatment, but such profiles can be ambiguous. Results would be more accurate if all labs tested normal cells from each patient, too.

Comment

Clam Cancer Spreads Along Eastern Seaboard

Friday, April 10, 2015

Renegade cells floating through seawater apparently cause the cancer, scientists say. Though people can't catch it, the malignancy might offer clues to how cancer cells spread in the human body.

Comment

Link Between Heart Disease And Height Hidden In Our Genes

Wednesday, April 08, 2015

Doctors long ago noticed that, beyond the usual influences of diet and smoking, short people seem to get heart disease more often than tall people. But why?

Comment

Why Are More Baby Boys Born Than Girls?

Monday, March 30, 2015

Does the imbalance start at conception or are there factors during pregnancy that favor the birth of slightly more males than females? Researchers find clues that point to factors in the womb.

Comment

Why The War On Cancer Hasn't Been Won

Monday, March 23, 2015

NPR
Medical researchers have made only modest progress treating the most common cancers since the war on cancer was declared in 1971. 

Comments [5]

Why The War On Cancer Hasn't Been Won

Monday, March 23, 2015

Medical researchers have made only modest progress treating the most common cancers since the war on cancer was declared in 1971. The disease has proved far more complicated than doctors had hoped.

Comment

Stats Split On Progress Against Cancer

Monday, March 23, 2015

When someone asks whether we're winning the war on cancer, the discussion often veers into the world of numbers. And, depending on which numbers you're looking at, the answer can either be yes or no.

Let's start with the no.

The number of cancer deaths in this country is on ...

Comment

The War On Cancer Hasn't Been Won

Monday, March 23, 2015

Medical researchers have made only modest progress treating the most common cancers since the war on cancer was declared in 1971.

Comment

Results Of Many Clinical Trials Not Being Reported

Wednesday, March 11, 2015

Federal law requires publicly-funded medical researchers to promptly report the results of many experimental treatments. But few are doing so, a review shows, and patients may be hurt.

Comment

A Biological Quest Leads To A New Kind Of Breast Cancer Drug

Thursday, February 19, 2015

The Food and Drug Administration has approved a drug that thwarts some enzymes breast cancer cells use to evade treatment with estrogen-blocking drugs.

Comment

Smoking's Death Toll May Be Higher Than Anyone Knew

Thursday, February 12, 2015

Tobacco's link to lung cancer, stroke and heart attack is well known. But smokers are also more likely to die from kidney failure, infections, and breast cancer, a revised tally suggests.

Comment

FDA Commissioner Hamburg Grappled With Global Challenges

Thursday, February 05, 2015

Food and Drug Administration Commissioner Margaret Hamburg says she'll leave the job at the end of March after six years in the spotlight and controversies over Plan B emergency contraception.

Comment

Lack Of Patients Hampers Ebola Drug And Vaccine Testing

Monday, February 02, 2015

Scientists launched a large trial Monday to test two vaccines. But testing Ebola drugs in West Africa is proving more difficult than expected because the disease is disappearing rapidly.

Comment

Obama Wants Funding For Research On More Precise Health Care

Friday, January 30, 2015

You may soon be able to donate your personal data to science. There are plans afoot to find 1 million Americans to volunteer for a new Precision Medicine Initiative that would anonymously link medical records, genetic readouts, details about an individual's gut bacteria, lifestyle information and maybe even data ...

Comment

Could This Virus Be Good For You?

Friday, January 30, 2015

Scientists studying HIV and Ebola have noticed another virus hitching along for the ride in some blood samples. Now they're trying to figure out whether the lurker helps the body fend off disease.

Comment